
Існує багато форм захворювання, викликаного різними причинами і відрізняються своїми проявами.
причини виникнення
Провокують розвиток хейлита найрізноманітніші чинники:
- довкілля — сильна спека і сухість повітря, морозна погода, вітер, несприятлива екологічна обстановка.
- вплив косметики, хімічних препаратів, лікарських засобів.
- неправильна гігієна, механічні пошкодження.
- різні захворювання — проблеми з печінкою і шлунково-кишковим трактом, шкірні хвороби, патології імунної системи, авітаміноз.
Симптоми хвороби
Кожен вид захворювання відрізняється своєю симптоматикою. Але є і загальні прояви недуги:
- шкіра губ пересихає, лущиться, з’являється відчуття печіння.
- на губах утворюються тріщини, бульбашки, дрібні виразки і скоринки.
- тріщини в куточках губ викликають біль, можуть кровоточити.
- запалення охоплює не тільки шкіру губ і червону облямівку, воно поширюється на навколишні області. Часто уражається слизова ротової порожнини.
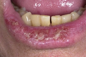
Фото хейлита на губах






Діагностика
Хейлі має наступний код по МКБ 10 (міжнародної класифікації хвороб) — K13.0. Хвороби губ.
Діагностика захворювання проводиться за допомогою:
- Візуального огляду.
- Вивчення загальної клінічної картини і скарг хворого.
- Результатів аналізів крові — загального і біохімічного.
- При необхідності — гістологічного дослідження тканин губ.
- Консультацій вузькопрофільних фахівців.
З цією недугою слід спочатку звернутися до стоматолога , який може також направити пацієнта до терапевта, ендокринолога, дерматолога, алерголога, імунолога.
Види захворювання
Детальна класифікація хейлита розділяє його на такі види:
Ексфоліативний

Вивчено недостатньо, вважається, що його розвиток пов’язаний з нейронними факторами. У хворих часто присутні психоемоційні розлади.
Виявляється двома формами. Суха форма характеризується порушенням кровопостачання губ.
В результаті застою утворюються сухі лусочки, їх легко зняти, але за кілька днів з’являються нові. Губи сохнуть і лущаться.
Ексудативна форма протікає складніше. Облямівка губ набрякла і запалена, вкрай болюча.
В цій зоні утворюються скориночки, які доставляють дискомфорт при розмові і їжі. На шкіру губ процес не поширюється.
ангулярних

«Винуватцями» процесу є стрептококи або грибки роду Candida. Стрептококовий хейліт частіше вражає дітей.
Інфекційний хейлоз при відсутності лікування може призвести до поширенням хвороби на всю область губ.
Провокують хейліт або Ангулярний стоматит:
- наявність інфекцій в роті.
- прийом антибіотиків.
- авітаміноз.
- звичка облизувати і покусувати губи.
Атопічний
Виявляється у пацієнтів, які страждають на нейродерміт або атопічний дерматит.

Симптомами є свербіж, почервоніння на облямівці губ, лущення, утворення лусочок (як при іхтіозі) і тріщин.
на слизову рота хвороба не переходить. Зазвичай атопічна форма діагностується у дітей та підлітків. Загострюється недуга в осінньо-зимовий період. Симптоми, методи лікування, фото атопічного дерматиту у дітей і дорослих знайдете тут.
Хейлі Манганотті
Абразивний преканцерозностью хейліт Манганотті — небезпечне захворювання, провісник раку .
Найчастіше вражає нижню губу і поширене у людей похилого віку.
На губах з’являється ерозія, яка довго не загоюється і кровоточить. Хвороба хронічна, її потрібно діагностувати і лікувати при перших ознаках появи.
Недуга розвивається через порушення процесів обміну в літньому віці. До передракових захворювань також відноситься постлучевого хейліт.
Метеорологічний
Виникає через дії несприятливих погодних факторів на пацієнтів з високою чутливістю до холоду, вітрі, опадів, сонячної активності. Основна група хворих — чоловіки.
Поразка частіше зачіпає нижню губу: відчувається стянутость, пересихання, свербіж, набряклість. Потім виникають ерозії і тріщини.
Гландулярний

Вторинну форму викликають різні хвороби — червоний вовчак , лейкоплакія, пародонтоз, карієс та інші.
Найчастіше ураження схильна нижня губа, в місці з’єднання слизової з червоною облямівкою. Там постійно утворюються крапельки слини, поступово зволожена шкіра починає пересихати, тріскатися і лущитися.
Якщо в слинні залози потрапляє інфекція, розвивається гландулярний апостематозний хейліт, при якому утворюються гнійні абсцеси. У цьому випадку лікування буде особливо довгим і складним.

Інструкція по застосуванню крему Емоліум розглянута в даному матеріалі.
Коли призначається крем-емульсія Мустела СтелАтопія? Відповідь на питання — тут: https://udermatologa.com/prep/krem-emulsiya-mustela-stelatopiya-svoystva-otzyvy/br/
Екзематозний
Свідчить про те, що відбувається в організмі екзематозних процесі. Як алергенів можуть виступити:
- медикаменти.
- мікроорганізми.
- матеріали, які використовує стоматологія для протезів і пломбування.
- продукти харчування.
Хвороба протікає в гострій і хронічній формі . При першій губи набрякають, сверблять, мокнуть, на червоній облямівці утворюються везикули і скоринки.
Хронічне протікання характеризується зменшенням запальних процесів. Ділянки ураження стають більш щільними.
Актініческій

Загострення доводиться на період сонячної активності (весну і літо ). Найчастіше йому схильні ті, хто довго буває на сонці.
Хвороба проявляється двома формами — сухий і ексудативної з мокнучими ерозіями і гіперкератозом. Запущений актинічний хейліт небезпечний ризиком розвитку злоякісних процесів.
Контактно-алергічний
Його провокує вплив на губи різних хімічних речовин , найчастіше містяться в помадах для губ , зубних пастах, в матеріалах протезів для зубів, металі, з якого виготовлений мундштук.
Недуга вражає в основному червону облямівку, але може переходити і на слизову, і на шкірні покриви в області губ.
в цих місцях з’являється аномальне почервоніння (еритема), виникають водянисті пухирці, що переходять в ерозії.
Кандидозний
Грибки роду Кандіда — винуватці появи цього виду хейліту.
Хвороба виникає, коли відбувається активне розмноження цих дрожжевідних мікроорганізмів.
Захворювання вражає особи з ослабленим імунітетом, загостренням хронічних хвороб, вірусними інфекціями, які беруть антибактеріальні препарати.
Поразки локалізуються на поверхні і в куточках г уб, на слизовій оболонці.
Детальніше про причини, ознаки, лікування кандидозного стоматиту з фото ми писали тут.
Катаральний
Часто розвивається в результаті пошкоджень і травм, дії хімічних речовин, погодних факторів.
Симптоми катарального хейлита:
- губи червоніють і набрякають.
- шкіра лущиться.
- відчувається біль в губах.
Гіповітамінозний

Слизова і поверхня губ набрякають , сохнуть, червона облямівка тріскається і може кровоточити.
Гіповітамінозний хейліт на губах супроводжується дискомфортом мови (збільшенням, сухістю).
Симптоми частково нагадують глосит (інфекційне захворювання мови).
Люпус-хейліт
Люпус-хейліт відноситься до одного з шкірних проявів системного червоного вовчака.
Симптоматика явно проявляється, коли вовчаковий процес досягає піку активно сти:
- червона облямівка гіперемована (відбувається застій надлишку крові в судинах губ).
- утворюються лусочки, ерозії і скоринки на губах і в куточках рота.
- з’являються тріщини і кровоточивість.
Хейлі Мішера

має яскраво виражені ознаки — сильне, практично патологічне напуханіе губ, частіше нижньої.
Вони вивертаються назовні до такої міри, що при закритому роті видно слизова оболонка.
Припухлість періодично зменшується, потім з’являється знову. Характер захворювання — затяжний, хронічний.
Як лікувати хейліт на губах
Важливо діагностувати конкретну форму захворювання, відрізнити його від інших видів хейліту і інших патологій. Наприклад, диференціювати герпетичний хейлоз від раку губ.

Як лікують різні види хейлита?
- Екфоліатівний .
Комплексна терапія включає призначення:
- седативних препаратів, антидепресантів, транквілізаторів, нейролептиків.
- иммунокорректоров (Пирогенал), вітамінів (переважно В і С).
- кортикостероїдних мазей, гормональних засобів (що вводяться за допомогою ультразвуку).
- фізіотерапії.
Лікується в залежності від його причини:
- протигрибковими препаратами — Кандідом, Флуконазолом, Нізоралом.
- антибактеріальними засобами — антибіотиками всередину і мазями (Вишневського, синтоміцин ).
- також призначають вітамінні комплекси і фізіотерапію.

Акцент в лікуванні — на усуненні подразників, для чого призначаються:
- мазі протиалергічного, протизапальної дії, наприклад, Преднізолон, Флуцинар.
- антигістамінні — Тавегил, Кларитин.
Важлива умова лікування — дієта, що виключає цитруси, полуницю, кава, солодощі та інші алергени.
Успішно лікується на початковій стадії:
- санація ротової порожнини з подальшим застосуванням загоюють препаратів — Солкосерил, метілураціловая мазі.
- спеціальна дієта, що включає продукти з мінімальним вмістом солі, але багаті вітамінами і мінералами.
- губи пом’якшують маслом обліпихи.

Головне — виключити вплив погодних чинників, що спровокували патолог ію, та впливу ультрафіолетових променів.
Крім того, призначають прийом вітамінів, іноді кортикостероїдних препаратів в низьких дозах. Ефективно використання зовнішньо мазей з гормонами (Гідрокортизон, Елоком).
Виходячи на вулицю, губи обов’язково змащувати гігієнічною помадою.
Первинну форму лікують протизапальними препаратами (Тетрациклінова, оксолінова мазі, Преднізолон).
При важкій стадії захворювання вдаються до иссечению залоз, які зазнали гіпертрофії і процедурі електрокоагуляції.
Лікування передбачає застосування:
-
антигістамінів (діазолін, супрастин, Тавегіл). - препаратів, що містять кальцій і натрій.
- заспокійливих засобів (валеріани, брому), транквілізаторів (реланіум).
- мазей з нафталаном і кортикостероїдами (Трідерм).
Перш за все потрібно зрозуміти і усунути причину алергії, для чого призначають антигістамінні — Цетрин, Хіфенадин, Еріус .
Місць але застосовують кортикостероїдні мазі (Оксікорт, Лорінден) з частотою до 5 разів на добу.
В терапії використовують зовнішньо мазі протигрибкової дії (Ламізил, Пімафуцин, леворіновую мазь), кошти на основі Ністатину, комбінований препарат Пімафукорт, антисептики.
Можливо, знадобиться приймати ліки від грибків всередину (Дифлюкан, Флюкостат). Ефективний прийом імуностимуляторів.
Терапія полягає в тому, щоб припинити дію провокуючих чинників.
показаний прийом вітамінних препаратів (що відносяться до групи В), зовнішньо — застосування рідких антибактеріальних мазей, гелю Холісал. Ефективно використання кератопластиков.
Крім активної терапії полівітамінами, необхідна збалансована дієта, з підбором продуктів, багатих мікроелементами — хліба з висівками, печінки, морської риби.

Оскільки це симптом системного червоного вовчака, то лікувати насамперед потрібно основну хворобу.
Займатися цим повинен ревматолог або терапевт, призначаючи гормональні препарати протизапальної дії — глюкокортикоїди, в окремих випадках спільно з імунодепресантами.
На сьогоднішній день позитивний результат досягається хірургічним шляхом — уражену ділянку січуть, зменшуючи обсяг губи.
висічення лікується також Плазмоклітинні хейліт, якщо не дають результату кортикостероїдні засоби, седативні препарати і протизапальні мазі.
Препарати
Систематизуючи методи лікування хейлітов, варто відзначити загальні принципи призначення ліків:
-
Хейлі інфекційної природи лікують, враховуючи тип збудника — препаратами проти вірусів і грибків, антибактеріальними засобами. - Сильне запалення усувають глюкокортикостероидами.
- Позбутися від алергічних форм хвороби допомагають антигістамінні.
- При хейліту н еврологіческой природи виписують седативні засоби і транквілізатори.
- Для зміцнення імунної системи застосовують препарати — імуностимулятори та вітамінні комплекси — позитивний результат дає прийом Вітрум, Дуовіта, Мульти-табс.
- Ранки на губах обробляють антисептиками, а потім пом’якшуючими мазями.

Лікування герпесної стоматиту у дітей детально розглянуто в даному матеріалі.
Перелік засобів народної медицини
в домашніх умовах доповнити медикаментозну терапію допоможуть народні засоби:
- примочки з масел — льняного, обліпихової, оливкової, чайного дерева, авокадо.
- губи змащують сумішшю соняшникової олії (прокипяченного) і соку алое в пропорції 1 до 3.
- розмолоту шкаралупу перепелиних яєць змішують з лимонним им соком і застосовують засіб при алергічному хейліт.
- настої лікарських трав — календули, звіробою, дубової кори, ромашки, череди, шавлії у вигляді примочок.
- приатопічному хейліт рекомендований відвар з неочищеного вівса — на 1 частина злаку беруть 5 частин води. Суміш кип’ятять, варять кілька хвилин і проціджують. Приймають до їжі, курс лікування — 30 днів.
Вправи для губ
В комплексному лікуванні хейлита застосовують міотерапію — спеціальні вправи для відновлення тонусу губ. Курс триває від місяця до півтора, щодня потрібно займатися не менше 10 хвилин.

- корисно по черзі надувати щоки.
- з’єднувати губи в трубочку, стискаючи зуби.
- рухати витягнутими трубочкою губами з боку в бік, вгору-вниз.
- надувати повітря в нижню губу, розслабивши її по максимуму.
Такі тренування корисні не тільки для м’язів, але і для нервової системи пацієнта.
Методи лікування хейлоз у дітей і вагітних жінок
Хейлі (або хейлоз) — не рідкість у вагітних жінок. Найчастіше виникає на тлі шкірних хвороб типу плоского лишаю або червоного вовчака. Спровокувати запалення на губах може і атопічний дерматит.
Які ще причини захворювання у вагітних:
- зниження імунітету.
- недолік гемоглобіну.
- авітаміноз.
- герпес.
- каріозні процеси.
- неправильна гігієна.

Це може бути медикаментозне лікування і супутня терапія народними засобами, застосування зовнішніх ліків — борного спирту, олії чайного дерева, соку алое. Корисні правильно підібрані вітаміни.
У дітей спостерігаються різні форми хейліту . У відповідності з діагнозом призначається і лікування:
- З обережністю використовують гормональні препарати, особливо місцевого дії, враховуючи, що дитяча шкіра і слизові губ здатні швидко вбирати різні речовини.
- Як зазначає доктор Комаровський, з антивірусних засобів в лікуванні дітей допустимо Ацикловір.
- Відзначено безпеку і ефективність застосування засобу «Метрогіл-Дента» в терапії дитячого хейлоз. У лікуванні атопічного хейліту використовують Имудон в поєднанні з місцевими зовнішніми засобами.
- Лікувати захворювання губ у дітей слід комплексно, застосовуючи антисептики, болезаспокійливі препарати, імунокоректори.
Важлива санація джерел інфекції в ротовій порожнини. Особлива увага приділяється міогімнастику для відновлення тонусу м’язів і правильного дихання.
Ускладнення
Якщо не вилікувати хейліт на початковій стадії, він придбає хронічну форму. І тоді при найменших дратівливих факторах губи будуть періодично запалюватися.
Чим ще небезпечна ця хвороба:
-
скоринки на губах ускладнюють їх рухливість, через що виникають дефекти мови. - біль заважає повноцінно харчуватися.
- виникають психологічні проблеми через явного естетичного дефекту на обличчі.
- велика загроза малігнізації — процесу, при якому здорові клітини переростають в ракові, особливо у пацієнтів старшого віку.
Наслідком захоплення косметикою, що замінює пластичні операції, може стати ретіноідной хейліт. У складі використовуваних препаратів присутні ретиноїди, які іноді викликають алергію.
заразилися хейліт на губах? Види хвороби, викликані внутрішніми проблемами організму, небезпеки не представляють. А ось при недугу, яка виникла через вірусних інфекцій в роті, тісні контакти з хворим краще обмежити.
Профілактика
Комплекс профілактичних заходів допоможе уникнути захворювання або запобігти його прогрес:
- для захисту губ користуватися гігієнічними губними помадами.
- виключити контакти з алергенами, що викликають хворобу.
- не торкатися до губам не вимитими руками.
- дотримуватися гігієни ротової порожнини і вчасно лікувати стоматологічні хвороби.
- вживати полівітаміни та мікроелементи.
- відмовитися від згубних пристрастей до спиртного і тютюну.
Будь-які запалення губ вимагають діагностики і лікування у фахівців.
Самолікування може мати сумні наслідки , адже у хвороби безліч видів і причин виникнення. І призначити потрібні ліки від хейліту може тільки лікар.